Serviços Especializados
Esclerose Múltipla
Diagnóstico por Imagem
Esclerose múltipla
O que é Esclerose Múltipla?
A Esclerose Múltipla é a principal doença desmielinizante do sistema nervoso central, ou seja, é a doença que ataca a bainha de mielina dos nervos, levando ao mau funcionamento dos mesmos e consequentemente a uma grande variedade de sintomas neurológicos.
Acredita-se que o início da doença ocorra com o ataque dos linfócitos (células de defesa do sangue) aos neurônios, gerando inflamação e destruição da bainha de mielina, de modo que consideramos a doença como autoimune (um ataque do corpo a seus próprios tecidos).
A Esclerose Múltipla é uma doença comum?
A Esclerose Múltipla é considerada uma doença rara, afetando cerca de 15 indivíduos a cada 100 mil. No entanto, o número de diagnósticos vem aumentando significativamente, especialmente em locais com maior acesso de análises, como é o caso da cidade de São Paulo.
Apesar de afetar ambos os sexos, a Esclerose Múltipla é mais comum em mulheres.
A idade média para início da doença varia entre 25 e 31 anos. A doença pode surgir em qualquer faixa etária, desde crianças a idosos.
Quais os Fatores de risco para esclerose múltipla?
Não existe nenhum fator de risco específico que leve ao surgimento da doença. No entanto, existem aspectos que fazem com que ela ocorra com maior frequência, sendo eles:
1) Infecção prévia pelo vírus Epstein-Barr: apesar de não haver evidência direta, quase 100% dos pacientes com Esclerose Múltipla têm sorologia positiva (IgG ou IgM) para este vírus, ou seja, foram infectados pelo vírus Epstein-Barr.
2) Obesidade na adolescência: risco que também é válido para o início da vida adulta.
3) Tabagismo: risco proporcional ao número de cigarros consumidos.
4) Baixa exposição solar.
5) Baixos níveis de vitamina D no sangue: apesar de ser considerado como fator de risco para a doença, não existe nenhuma evidência científica confiável que indique o uso de doses excessivas de vitamina D para o tratamento da Esclerose Múltipla. Ressaltamos que esse tipo de tratamento, que não está previsto na bula do medicamento, pode levar a severas complicações.
6) Mudanças de turno de trabalho: principalmente quando o sono é de má qualidade.
7) Fatores genéticos: apesar de não ser uma doença genética, o risco entre parentes de 1º grau (pais e filhos) é 5 a 15 vezes maior para o desenvolver a doença.
Quais os sintomas de Esclerose Múltipla?
Os principais sintomas de Esclerose Múltipla são:
1) Neurite óptica: dor ocular, turvação visual, mudança na percepção de cores, principalmente vermelho.
2) Síndromes de tronco: visão dupla, paralisia ocular, neuralgia do trigêmeo (dor facial).
3) Síndromes cerebelares: desequilíbrio, tremor e dificuldade de locomoção.
4) Síndrome medular: Formigamento, fraqueza ou ambos em braços ou pernas, choque nas costas (sinal de Lhermitte), dor abdominal ou sensação de aperto, incontinência ou retenção urinária.
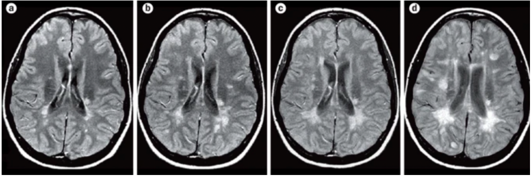
Quais exames ajudam no diagnóstico de Esclerose Múltipla?
Um exame neurológico completo realizado por um Neurologista especialista ajuda a avaliar o estado neurológico do paciente, enquanto a confirmação diagnóstica pode ser feita através da realização de Ressonância Magnética de Crânio e Coluna (demonstrando lesões da doença) e da coleta de Líquor através de punção lombar (demonstrando, em muitos casos, a presença de bandas oligoclonais).

Qual a diferença entre surto e progressão de doença?
Surtos são sintomas da doença que surgem ao longo de horas e duram mais que um dia, podendo ocorrer recuperação total ou parcial, em um período variável.
Progressão, por outro lado, diz respeito ao aumento progressivo dos sintomas e incapacidade sem presença clara de surtos ou melhora.
Quais as formas de Esclerose Múltipla?
1) Esclerose Múltipla Remitente Recorrente (90% dos casos): a forma mais comum de doença, caracterizada por surtos sem progressão evidente. Atualmente é a forma com melhor resposta ao tratamento.
2) Esclerose Múltipla Secundariamente Progressiva (5% dos casos): a forma Remitente Recorrente pode evoluir para a forma Secundariamente Progressiva após muitos anos de doença, com progressão de sintomas independente da presença de surtos. O diagnóstico precoce e o tratamento de alta eficácia ajudam a evitar essa evolução.
3) Esclerose Múltipla Primariamente Progressiva (5% dos casos): caracterizada por progressão de sintomas desde o início da doença, independente da presença de surtos. Atualmente existem muitos medicamentos (comercializados ou em estudo) focados no tratamento dessa variante pouco comum.
A Esclerose Múltipla tem cura?
Ainda não existe uma cura para a Esclerose Múltipla.
Apesar disso, existem mais de 10 medicamentos específicos e de uso contínuo que ajudam a controlar a doença, evitando o surgimento de surtos e estabilizando os pacientes. Nos últimos anos, surgiram medicamentos extremamente eficazes que são capazes de impedir quase completamente o surgimento de novos surtos ou mesmo a progressão da doença. Esses medicamentos são, em sua maioria, realizados em centros de infusão, mensalmente ou a cada 6 meses, a depender do medicamento.
O tratamento de surtos é feito com corticoide por 5 dias, geralmente em ambiente hospitalar. Em casos muito graves, pode ser necessário fazer plasmaferese.
Como A Esclerose Múltipla afeta a qualidade de vida?
Se não tratada adequadamente, a Esclerose Múltipla pode gerar significativo impactos na vida diária, como levar a problemas visuais, uso de muletas ou cadeira de rodas. Felizmente, a evolução dos novos tratamentos permitiu com que essa doença, antes considerada grave e sem cura, torne-se mais fácil de controlar e com menor impacto na vida de seus portadores.
Como o Santa Marcelina SAÚDE pode ajudar os pacientes com Esclerose Múltipla?
O Santa Marcelina Saúde, unidade hospitalar Itaquera, conta com neurologistas especializados em Esclerose Múltipla para pacientes conveniados.
Oferecemos atendimento em local exclusivo com equipe de apoio multidisciplinar, composta por enfermeira, técnico de enfermagem e fisioterapeuta, uma recepção exclusiva para agendamento de consultas e abertura de fichas de atendimento, equipe de profissionais especializados em coleta de líquor, centro de ressonância magnética de última geração, plantão 24 horas por dia, 7 dias por semana, além de um centro de infusão com estrutura completa.
Agende a sua consulta pelo telefone: (11) 2523-7800 – segunda a sexta-feira, das 7h às 21h, e aos sábados, das 8h às 14h.